歯を失った時には…

病気、加齢、事故などにより歯を失った時、お口の中の機能性や審美性を改善させる方法に入れ歯があります。
「入れ歯を装着すると、口まわりの審美性が損なわれる」などの理由から、入れ歯を敬遠される方もいらっしゃいますが、最近では金属のバネ(クラスプ)を使用しない「ミラクルデンチャー」もありますので、審美性を損なうことなく入れ歯を装着して頂くことも可能です。
歯を失った時にそのままにしていると、見た目が悪くなるだけでなく、噛み合わせの乱れを引き起こし、虫歯や歯周病などの病気にかかりやすくなったり、さらには肩こりや頭痛などの不定愁訴の原因となったりする場合があります。
なので、歯を失った時には決して放置せずに、すぐに歯科医院で適切な治療を受けられるようにしてください。
入れ歯の種類
ミラクルデンチャー

金属のバネを使用しない入れ歯です。
「ノンクラスプデンチャー」と呼ばれることもあります。金属のバネを使用しないので審美性に優れており、大きく口を開けて笑っても装置が目立つようなことはありません。
さらに透明感のある素材で作製されますので、お口まわりの審美性を損なうことなく使用して頂くことができます。
メリット
- 金属のバネを使用しないので、審美性に優れている
- 入れ歯を薄く作製することができるので、装着時の違和感が少ない
- 柔らかくしなやかな素材なので、歯茎に馴染みやすい
- 義歯が初めての方も、抵抗なく義歯を入れる事ができる
- 従来の入れ歯と比べて、非常に喋りやすくなる
デメリット
- 調整が難しい
金属床入れ歯

入れ歯の床部分に金属を使用した入れ歯です。
入れ歯を薄く作製することができるので、装着時の違和感が少ないほか、耐久性に優れている、食事の際の温度差を感じやすいなど様々なメリットがあります。
ほとんどの症例で使用することができます。
メリット
- 入れ歯を薄く作製することができるので、装着時の違和感が少ない
- 耐久性に優れている
- 食事の際の温度差を感じやすい
- 汚れが付着しにくい
デメリット
- 調整が難しい
- 使用する金属の種類によっては、金属アレルギーの原因となる場合がある
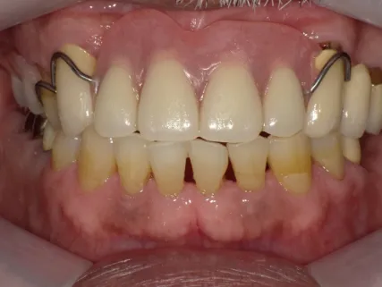
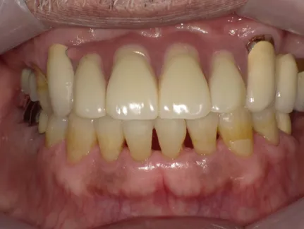
金属ありの入れ歯とミラクルデンチャーの比較
クラスプデンチャー
ミラクルデンチャー
当院の入れ歯の特徴
長くお使い頂ける入れ歯を提供します

せっかくお作りになった入れ歯ですから、できるだけ長くお使い頂きたい。そうした思いから当院では、できる限り長くお使い頂ける入れ歯が提供できるように努めています。
当院で入れ歯を作られた方の中には、一度作った入れ歯を調整し続けて、10年以上使い続けている方もいらっしゃいます。
ただし、入れ歯を長く使い続けるためにはメンテナンスが不可欠ですので、定期的に当院にお越し頂き、メンテンナンスを受けられるようにしてください。
ベテラン歯科技工士が質の高い入れ歯を提供します
信頼のおけるベテラン歯科技工士が、患者様お一人おひとりのお口の状態に合った質の高い入れ歯を提供します。
当院で入れ歯を作られた患者様の多くが、その質の高さにご満足されています。
料金表
| ミラクルデンチャー | 2000,000~550,000円(税込) |
|---|








